呕吐便血,折磨宝宝20多天的竟是这个大家伙
3月5日,一场无创手术的成功让家长喜极而泣,看着宝宝疾患消除,手术室的医护人员也终于松了一口气。

3月1日,28个月的乐乐(化名)来到外科门诊时哭闹不停,家人也愁眉苦脸。医生询问了解到,乐乐已经反复呕吐哭闹20多天,在当地医院做彩超发现有肠套叠症状,因当地医疗水平有限,没办法治疗。外科接诊后,医生经彩超检查发现肠内有息肉,马上与内镜中心会诊,如果内镜下能切除息肉,就不用开腹手术了。
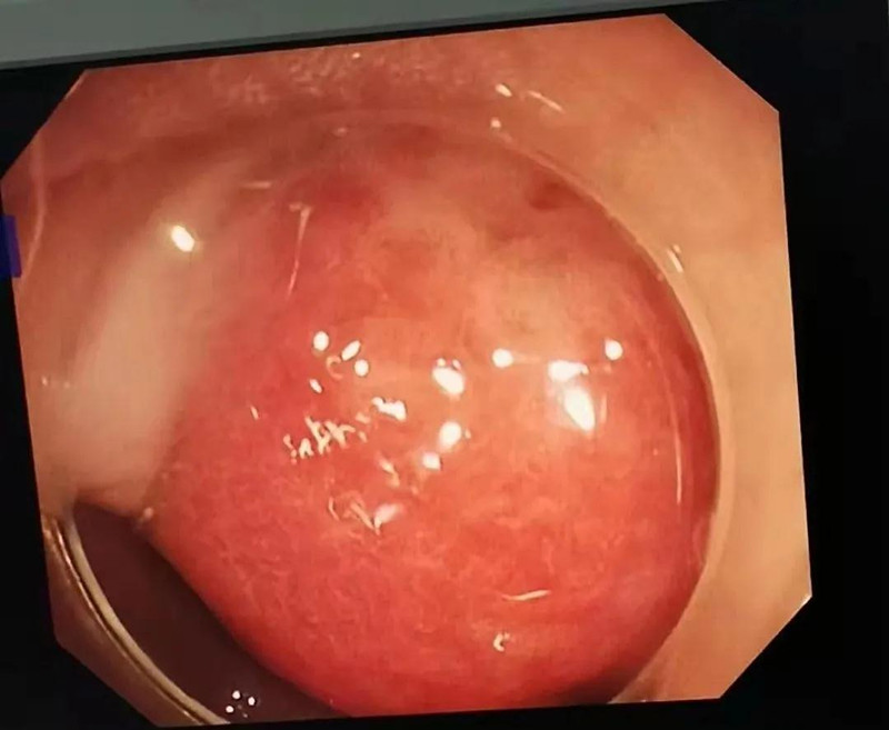
内镜中心接诊后,副主任边鹏感觉患儿病情不简单,经再次详细检查发现:患儿肠内息肉达直径3公分左右。正是这块息肉不停地拖坠肠道,导致患儿反复发生肠套叠症状。“最有效的方法是尽快切除息肉,但是息肉太大,增加了手术风险。”边鹏考量再三,决定采取“内镜下尼龙绳套扎息肉摘除方法”,这种技术可以大大减少消化道出血并发症的发生,保证患儿安全,但需要术者具备精准的镜下诊断能力和熟练的内镜操作能力。

手术前,边鹏制定了详细的手术方案,重新购置更符合患儿治疗的器械,避免手术时发生穿孔、出血风险。手术过程中,外科医生也在手术室内。因息肉大,如内镜下不能切除或切除过程中出现无法避免的大出血,外科团队可马上介入。3月5日,患儿在静脉全麻下实施手术。边鹏和团队默契配合,利用尼龙绳套扎法顺利将大肠息肉完整切除,手术仅10分钟。术中、术后均未发生出血、穿孔等并发症,患儿在术后第5天顺利出院。

“如果孩子早点来治疗,治疗的风险会更小。”边鹏说,肠套叠最常见于婴幼儿(3月-3岁),较大儿童多继发于肠道疾病而出现肠套叠。肠套叠一般临床表现为持续性腹痛,阵发性加重,伴有呕吐、腹泻、腹部包块等症状。婴幼儿无法言语,通常表现为哭闹不止、厌奶、吐奶、腹泻等,患儿还会出现大便带血、精神萎靡、嗜睡等症状。边鹏说,有的父母不了解肠套叠,以为是肛裂,拖了一年才来诊治,导致孩子出现脱水、休克,必须进行外科手术治疗。她提醒家长们,一旦发现孩子有便血情况,应立即去医院就诊。